Inner Vision Carbon Monoxide x BISSP Zaltana Kissed By An Angel in Kahnawake

Shakaars und Ezris Welpen
Pedigree Online Plugin
The query to the API Server failed:
Diese Verpaarung ist eine Wiederholung der des E-Wurfes vom letzten Jahr. Wir wollten das ohnehin wiederholen, hatten allerdings für diesmal eigentlich einen anderen Rüden geplant. Aber die Umstände erzwangen schnelles Handeln, und so wurde Shakaar erneut Vater eines Wurfs von Ezri.
Die Belegung am 22. September klappte gut, allerdings duldete Ezri nur einen weiteren Deckakt. Aber ihr zunehmend ruhiges Verhalten in den kommenden Wochen ließ darauf schließen, dass sie aufgenommen hatte.
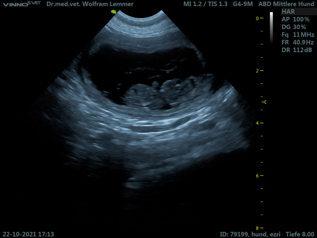
Die Ultraschalluntersuchung am 22. Oktober zeigte mehrere gutentwickelte Föten, die in ihren Fruchtblasen hüpften. Die kleinen Herzchen schlagen zu sehen, ist immer wieder ein ergreifender Moment.
In den kommenden Wochen waren wir durch den Tod einer nahen Familienangehörigen ziemlich von der Spur und arg beschäftigt. Die Aussicht auf niedliche Welpen bot allerdings etwas Trost.

Auf dem Röntgenbild vom 15. November waren sechs Welpen deutlich zu sehen. Einen siebten vermutete die Tierärztin, war sich allerdings unsicher.
Geburt
Am 21. November kündigte es sich bereits an, dass die Geburt bevorstand. In den Tagen davor hatte Ezri Senkwehen gehabt, nun bewegte sie sich schwerfällig. Zuvor hatte sie bereits mehrfach das Wurfzimmer inspiziert und kontrolliert, ob die Wurfkiste vorbereitet war.
Sonntags vormittags ging ich mit ihr spazieren, allerdings nur noch um den Block, weiter wollte sie sich auf keinen Fall entfernen. Nach einem zweiten Spaziergang gegen Mittag kletterte sie zielstrebig die Treppe zum Wurfzimmer hoch und nahm die Kiste in Beschlag. Es folgten Unruhe, tiefes Hecheln, Scharren und all die Anzeichen einer bevorstehenden Geburt. Wir sind noch einige Male im Haus herumgelaufen und in den Garten gegangen, damit sie sich lösen konnte, was sie auch jedesmal tat.
Als die ersten stärkeren Wehen auftraten, erbrach sie ihr Frühstück und Teile des Kauknochens vom vergangenen Abend, was einige Aufregung nach sich zog. Aber Ezri blieb weiterhin ruhig. Soweit eine Hündin in den Wehen ruhig sein kann.
Bald darauf setzten die Presswehen ein und sie brachte am frühen Nachmittag einen kleinen Rüden zur Welt.
Anders als bei ihrer ersten Geburt ließ Ezri sich diesmal mehr Zeit zwischen den einzelnen Geburten, als wollte sie ihre Kräfte besser einteilen. Sie nahm alle Welpen sofort an und kümmerte sich in den langen Pausen zwischen den Geburten hingebungsvoll um sie.
Noch vor Mitternacht wurde der letzte Welpe geboren. Am Ende hatten wir Gleichstand: drei Rüden und 3 Mädchen. Bis auf ein etwas leichteres Mädchen waren alle annähernd gleich schwer. Alle im Pigment schwarz-weiß, nur ein Rüde erschien dabei aufgehellter als die anderen.
Entwicklung
Die sechs Welpen entwickelten sich gleichmäßig sowohl im Wachsen als auch bei der Gewichtszunahme. Sie waren von Anfang an sehr aktiv und munter, durchaus laut und fordernd. Aber Ezri ist eine kluge Hundemama und lässt sich nicht aus der Ruhe bringen. Sie scheint durchaus aktiv an der Frustrationstoleranz zu arbeiten, ohne sie dabei aus den Augen zu lassen.
Zwischen dem elften und dem vierzehnten Tag öffneten die Welpen ihre Augen. Bis zum Umzug ins Welpenzimmer halten sie sich in einem kleinen Gehege im Wohnzimmer auf und gewöhnen sich dort an die üblichen Geräusche und Bewegungen in einem Haushalt. Außerdem bekommen sie täglich Besuch von Erwachsenen und Kindern und machen die Erfahrung, dass Menschen freundlich sind.









